Belotero 保柔緹 – 仿生玻尿酸

Belotero 保柔緹主視覺背景
保柔緹仿生玻尿酸特色標題

保柔緹仿生玻尿酸就像人體原生玻尿酸結構般
能和肌膚有絕佳的融合度,呈現親膚、最真實自然的效果。

保柔緹仿生玻尿酸特色說明圖
高肌膚融合度圖示

高肌膚融合度

較不用擔心騰德爾效應圖示

較不用擔心
騰德爾效應

不易有異物感圖示

不易有異物感

肌膚認證2大關鍵

1.獨家CPM親膚科技

CPM親膚科技認證標誌

專利CPM親膚科技
讓玻尿酸凝膠形成高、低密度區,
和肌膚有絕佳融合性,
效果更自然。

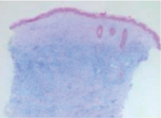
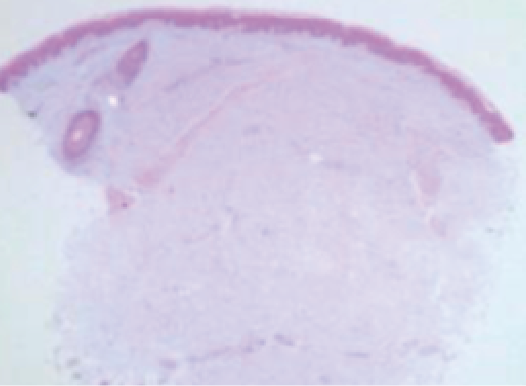
未注射切片示意圖 未注射切片
注射保柔緹後切片示意圖 注射保柔緹後
箭頭指示

具良好的肌膚融合性
肌膚中無出現顆粒聚集

2.完全凝膠型玻尿酸

質地如同鮮奶油般滑順
可高度與肌膚融合,
不易產生硬塊也不容易引起發炎反應

保柔緹
完全凝膠型
保柔緹完全凝膠型玻尿酸顯微鏡切片圖
  • 異物感低
  • 不易發炎
他牌
不完全凝膠型/顆粒型
他牌不完全凝膠型/顆粒型玻尿酸顯微鏡切片圖
  • 易有異物、顆粒感
  • 肌膚融合度較差
保柔緹
完全凝膠型
  • 異物感低
  • 不易發炎
保柔緹完全凝膠型玻尿酸顯微鏡切片圖
他牌
不完全凝膠型/顆粒型
  • 易有異物、顆粒感
  • 肌膚融合度較差
他牌不完全凝膠型/顆粒型玻尿酸顯微鏡切片圖

滿足肌膚各層次需求

從淺層到深層

Belotero 保柔緹全系列產品分層示意圖,從表皮層到骨骼層
表皮層
真皮層
脂肪層
素妍針
SOFT
BALANCE
VOLUME
INTENSE

全系列客製專屬美麗

全系列客製專屬美麗圖示
Belotero 素妍針產品特色圖
素妍針 . 敢素顏
高濃度玻尿酸 + 甘油
水潤、透亮
Belotero SOFT 柔軟型玻尿酸產品特色圖
不須擔心凹凸不平
柔軟型玻尿酸
平滑、自然
Belotero BALANCE 平衡型玻尿酸產品特色圖
自信亮眼 . 理想輪廓
平衡型玻尿酸
淺層親膚貼合
Belotero VOLUME 豐盈型玻尿酸產品特色圖
3D豐潤 . 線條柔順
豐盈型玻尿酸
優異的可塑性、維持美麗
Belotero INTENSE 加強型玻尿酸產品特色圖
支撐年輕 . 立體臉龐
加強型玻尿酸
中間部位加強、持久

美得安心,信任無虞

全球超過90個國家核准上市

歐盟CE認證標誌

歐盟CE認證

台灣TFDA核准標誌

台灣TFDA核准

美國FDA核准標誌

美國FDA核准

瑞士製造標誌

瑞士製造

常見問題

問題圖示 Q1

療程通常需要多少次?

專家來解答+
展開箭頭

由於每個人的肌膚狀況與條件不同,療程次數、使用劑型等請依專業醫師評估後規劃適當療程。維持時間會依醫師的規劃以及個人生活習慣、代謝等因素有所差異。

問題圖示 Q2

治療過程會很痛嗎?

專家來解答+
展開箭頭

大部分保柔緹仿生玻尿酸產品(不含素妍針)含有麻藥,療程過程相對舒適。又每個人對於疼痛忍受度不同,如對痛感較敏感者建議可在術前先進行敷麻30-40分鐘(或更長)、冰敷,震動儀亦可以降低不適感。

問題圖示 Q3

術後的修復期多久?

專家來解答+
展開箭頭

通常注射完保柔緹仿生玻尿酸產品後,即可恢復一般日常生活。但注射後可能會有輕微發紅、腫脹、搔癢及注射部位有柔軟鬆弛的觸感,此為正常現象,通常這些不適感會在幾天後消失。如有腫脹約1-2天恢復可加強冰敷;如有局部瘀青,約5-7天恢復。(實際時間依個人狀況而定)

問題圖示 Q4

療程後應如何居家護理?

專家來解答+
展開箭頭

接受針劑注射的點位可配合塗抹抗生素藥膏,治療部位亦可使用冰敷袋來幫助減輕腫脹及瘀傷。治療後二週內應避免三溫暖、烤箱、蒸氣浴、溫泉和長時間曝露於陽光及紫外線之下建議使用低敏的保濕產品或防曬。同時應避免擠壓,易造成皮膚感染刺激的活動,如:做臉、擠粉刺、擠痘痘、臉部SPA按摩等。

問題圖示 Q5

仿生玻尿酸會有什麼副作用嗎?

專家來解答+
展開箭頭

仿生玻尿酸的CPM親膚科技,即使施打於淺層也能與肌膚自然融合。不易有異物感、饅化狀況、泛藍光(騰德爾效應 Tyndall effect)、或延遲發炎的問題。